RENAL TUMOR AND TRAUMA: A PITFALL FOR CONVERSATIVE MANAGEMENT
( Download pdf )
SIMONE DE CAMPOS VIEIRA ABIB, MILA TORII CORRÊA LEITE, RODRIGO CHAVES RIBEIRO, CAMILA GIRARDI FACHIN, MARIS SALETE DEMUNER, MONICA CYPRIANO, SÉRGIO TOMAZ SCHETTINI
Surgery Department, Federal University of São Paulo, Paulista School of Medicine, São Paulo, Brazil
Clinical Urology
Vol. 37 (4): 514-518, July - August, 2011
ABSTRACT
Purpose: Conservative management has been largely used for renal trauma. Although this approach is safe and highly recommended, it can hide a pre-existing unknown condition, such as tumors or urinary malformations. A high index of suspicion is needed for early recognition of these conditions. We present four cases treated at the Pediatric Oncology Institute - Federal University of São Paulo, which have been initially treated conservatively for renal trauma.
Materials and Methods: We reviewed all 218 renal cases of renal tumors treated at our institution in a 22-year period, searching for associated trauma events.
Results: Four cases of renal tumors were initially treated conservatively for blunt renal trauma of low energy mechanism. Patients’ ages ranged from 7 to 12 years old. Two patients had no previous symptoms, one patient had hematuria and another had an abdominal mass. Computerized Axial Tomography (CT) of the abdomen revealed disparate magnitude of the renal bleeding to the low energy mechanism of trauma. All patients underwent surgical treatment. Kidney specimens showed Wilms tumor in three cases and renal carcinoma in one.
Conclusions: The association between renal tumors and trauma should be suspected when renal trauma hemorrhage on abdominal CT scan does not match the low energy mechanism of blunt abdominal trauma. The key for a successful diagnosis of renal tumor or congenital malformations is the high index of suspicion for these conditions.
Key words: injuries; kidney; neoplasms; treatment outcome; diagnosis
INTRODUCTION
According to the World Health Organization (1), approximately six million people die due to trauma each year. Of these, 800.000 deaths and 50 million of permanently disabled individuals are aged between 0 and 14 years. Ten percent of all abdominal traumas involve the kidney, but it is often detected after the primary exam of the traumatized patient, except when the patients presents initially with hypovolemia. It can also be suspected when hematuria is observed after bladder catheterization. Thus, when there are no other associated injuries, it rarely causes death. Often conservative management of renal trauma is the gold standard of treatment fr majority of injuries (2-7). It is a safe and highly recommended approach, but an underlying unknown condition can be also present.
The association between trauma and urinary malformations or other pre-existing conditions is well known. Schmidlin et al. found an incidence of 19% of abnormal kidneys in their series of blunt renal trauma. (8) A trauma episode often occurs prior to the diagnosis of those pre existing unknown conditions.
Literature does not refer to the incidence of pre existing renal tumors and trauma. Renal tumors are also quite frequent, being the second most common malignant solid tumor in children, accounting for 6% of childhood cancers.
The aim of this report is to analyze the series of renal tumors of a pediatric oncology center and its association with renal trauma.
MATERIALS AND METHODS
A 22-year retrospective chart review of clinical and surgical records of 218 renal cases of renal tumors treated at the Pediatric Oncology Institute of the Federal University of São Paulo, Brazil.
RESULTS
We found four cases of renal trauma associated with renal tumors. Three were male and one, female (Table-1).
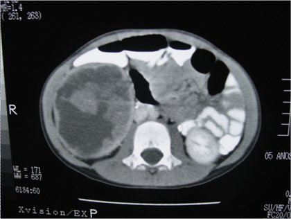
Case 1: A 7-year-old male, presented with gross hematuria for one week. Six months before he had fallen from a tree and was conservatively treated for renal trauma in another hospital, but lost follow-up. He had a painless abdominal mass on the right flank. CT showed an abnormal kidney, suspicious of renal tumor/ urinoma (Figure-1). Laparotomy was performed, due to gross hematuria, and a ruptured tumor of the upper pole of the right kidney was found. Nefrectomy was performed, as well as surgical staging of the tumor. Postoperative period was uneventful. Pathology revealed an anaplastic Wilms tumor and postoperative staging showed a pulmonary metastasis, thus the patient was staged IV. Patient was alive and well until three years after surgery. Follow up was lost afterwards.


Figure 1 - CT of case 1: a large renal mass due to Wilms tumor, with intratumoral hemorrhage.
Case 2: A 10-year-old, female, presented with abdominal pain after falling from the couch. A CT was performed and showed a large hematoma / tumor in the right upper renal pole, with calcifications (Figure-2). No renal injury was observed. She was initially treated conservatively for renal trauma in a different hospital, but due disparate size of the CT findings and mechanism of trauma and renal calcifications, she was refered to our institution. Laparotomy was performed, revealing a ruptured right upper pole tumor. Nefrectomy and surgical staging were undertaken. Pathology showed blastematous Wilms tumor. Patient refused further treatment, as stage III and returned two years later with pulmonary metastasis. She underwent chemo and radiotherapy, as well as thoracotomy. Patient is alive, three years disease-free after the end of treatment.

Figure 2 - CT of case 2: renal mass due to Wilms tumor with hemorrhage and calcifications.
Case 3: A 9-year-old, male, presented with hematuria and abdominal mass. During the investigation, he fell from roller skate and had severe abdominal pain. Laparotomy was performed and showed a ruptured right renal tumor. The kidney was removed and surgical staging was undertaken. The patient was considered stage III. He was treated with chemo and radiotherapy. He has been disease-free for 12 years.
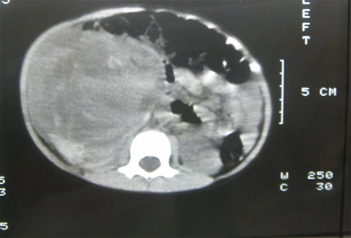
Case 4: A 12-year-old male, was refered to our hospital after being treated conservatively for renal trauma elsewhere for three days. The patient fell from a tree. CT is shown at Figure-3. Suspecting of a ruptured renal tumor, laparotomy was performed and showed a ruptured and bleeding right renal mass (Figure-4). Pathology revealed a renal carcinoma. Postoperative period was uneventful and the patient is alive and disease-free one year after the end of treatment.

Figure 3 - CT of case 4: peri-renal hematoma due to ruptured renal carcinoma.

Figure 4 - Ruptured tumor – case 4: surgical findings of a ruptured renal carcinoma.
DISCUSSION
Since trauma is an endemic disease, treated mostly by general surgeons, it is important that trauma surgeons are aware that renal tumors can be present when treating renal trauma conservatively in the pediatric population, particularly when CT and ultrasound findings are discordant to a low energy mechanism of abdominal trauma.
Often conservative treatment of renal trauma is successful (89-95%), even for complex injuries (2,9-11). However, renal tumor or other urinary abnormalities maybe masked by trauma. Late diagnosis of a renal tumor may impact patients’ outcome as shown in our first case, which had pulmonary metastasis six months after renal trauma. Due to particular issues with these pediatric patients such as surgical staging of childhood renal tumors, it is advisable to transfer the patient to a pediatric oncology center. Children’s kidneys are more susceptible to trauma than in the adult poopulation, since they are relatively larger, have fetal lobulation, less muscle and fat in the abdominal wall and peri-nephric area.
The association between trauma and urinary malformations or other pre-existing conditions is well known. Schmidlin et al. (8) found an incidence of 19% of abnormal kidneys in their series of blunt renal trauma. Chaparro et al. (12) reported 11.6% of abnormal kidneys associated with trauma. A trauma episode often occurs prior to the diagnosis of those pre existing unknown conditions.
The real incidence of renal tumor is not well defined in the literature. Levant and Feldman reported one of the first reports (13), of ruptured Wilms tumor. Fraley and Halverstadt (14) related a case of fall from standing height, which was initially treated conservatively for renal trauma, but surgery was indicated due to abdominal pain and bleeding. A ruptured Wilms tumor was found. A ruptured renal adenocarcinoma, as in our fourth case, was described in a 10-year-old girl (15). A similar case was described in an adult by Woodside and Borden (16).
Diagnosis can be very challenging. It is pivotal to consider the mechanism of injury and degree of trauma, and disparate CT findings. Differentiation between a hematoma and hemorrhage associated with an underlying benign or malignant lesion can be challenging (17). CT scans are often inconclusive, thus a high index of suspicion is needed by the attending doctors.
CONCLUSIONS
We conclude that clinical and CT findings of renal injury out of proportion to blunt abdominal trauma mechanism should raise the presence of a concomitant renal tumor in the pediatric population. Therefore, a high index of suspicion must be exercised when dealing with pediatric renal trauma patients. Although the association between renal tumors and trauma is already known, often patients with renal tumors post blunt abdominal trauma receive conservative treatment since renal trauma may mask rupture renal masses. Finally, one may investigate pediatric and general surgeons to consider the possibility of dealing with a renal tumor, especially when the image does not correspond to the related energy transfer.
CONFLICT OF INTEREST
None declared.
REFERENCES
- Krug E. Injury: a leading cause of the global burden of disease. Violence and Injury prevention. Department for disability/ injury prevention and rehabilitation. Social change and mental health cluster. World Heath Organization. Geneva, 1999.
- Henderson CG, Sedberry-Ross S, Pickard R, Bulas DI, Duffy BJ, Tsung D, et al.: Management of high grade renal trauma: 20-year experience at a pediatric level I trauma center. J Urol. 2007; 178: 246-50; discussion 250.
- Broghammer JA, Langenburg SE, Smith SJ, Santucci RA: Pediatric blunt renal trauma: its conservative management and patterns of associated injuries. Urology. 2006; 67: 823-7.
- Wessel LM, Scholz S, Jester I, Arnold R, Lorenz C, Hosie S, et al.: Management of kidney injuries in children with blunt abdominal trauma. J Pediatr Surg. 2000; 35: 1326-30.
- Cass AS, Luxenberg M: Conservative or immediate surgical management of blunt renal injuries. J Urol. 1983; 130: 11-6.
- Davis KA, Reed RL 2nd, Santaniello J, Abodeely A, Esposito TJ, Poulakidas SJ, Luchette FA: Predictors of the need for nephrectomy after renal trauma. J Trauma. 2006; 60: 164-9; discussion 169-70.
- Nance ML, Lutz N, Carr MC, Canning DA, Stafford PW: Blunt renal injuries in children can be managed nonoperatively: outcome in a consecutive series of patients. J Trauma. 2004; 57: 474-8; discussion 478.
- Schmidlin FR, Iselin CE, Naimi A, Rohner S, Borst F, Farshad M, et al.: The higher injury risk of abnormal kidneys in blunt renal trauma. Scand J Urol Nephrol. 1998; 32: 388-92.
- Margenthaler JA, Weber TR, Keller MS: Blunt renal trauma in children: experience with conservative management at a pediatric trauma center. J Trauma. 2002; 52: 928-32.
- Altman AL, Haas C, Dinchman KH, Spirnak JP: Selective nonoperative management of blunt grade 5 renal injury. J Urol. 2000; 164: 27-30; discussion 30-1.
- Santucci RA, Fisher MB? The literature increasingly supports expectant (conservative) management of renal trauma--a systematic review. J Trauma. 2005; 59: 493-503.
- Chaparro LP, Moyano AS, Martin JAD, et al. Traumatismorenal sobre riñon patológico. Incidencia, manejo y resultados de tratamiento. Arch Esp de Urol. 1992; 45: 407-13.
- Levant B, Feldman BJ: Traumatic rupture of Wilms' tumor. J Urol. 1952; 67: 629-33.
- Fraley EE, Halverstadt DB: Unsuspected Wilms tumor. Dangers in the conservative therapy of renal trauma. N Engl J Med. 1966; 275: 373-4.
- Strimer RM, Richardson JR: Adenocarcinoma of kidney in a child. Tumor rupture following trauma. Urology. 1975; 5: 649-51.
- Woodside JR, Borden TA: Traumatic rupture of a renal cell carcinoma. J Trauma. 1977; 17: 972-4.
- Hanquinet S, Annoshiravani M, Poletti PA, Terrier F, Wacker P, Collier F: Massive spontaneous perirenal hematomas in children: radiologic pitfalls in differentiating between benign and malignant lesions. Med Pediatr Oncol. 1998; 31: 173-4.
_____________________
Submitted for publication:
January 05, 2011
____________________
Accepted after revision:
May 05, 2011
_______________________
Correspondence address:
Dr. Simone de Campos Vieira Abib
Rua João Tibiriçá, 149
São Paulo, SP, 05077-000, Brazil
Fax: + 55 11 3836-0730
E-mail: simoneabib@uol.com.br |