Application of Human Amniotic Membrane in Canine Penile Tunica Albuginea Defect: First Step toward an Innovating New Method for Treatment of Peyronie's Disease
(Download pdf)
doi: 10.1590/S1677-5538.IBJU.2014.03.15
M. Salehipour 1, K. Izadpanah 2, A. Safaei 3, M. Kamranpoor 4, M.R. Farsiani 4
1 Department of Urology, Shahid Faghihi Hospital, Shiraz University of Medical Sciences, Shiraz; 2 Department of Urology, Fasa University of Medical Sciences, Fars, Iran; 3 Department of Pathology and 4 Research Committee, Shiraz University of Medical Sciences, Shiraz, Iran
Original Article
Vol. 40 (3): 400-407, May - June, 2014
ABSTRACT
Purposes: To evaluate the efficacy of human amniotic membrane (AM) grafting in the canine penile tunica albuginea defect; we developed an animal model as the first step toward an innovating new method for the treatment of Peyronie's disease, penile cancers, and congenital deformities of the penis. Material and Methods: From August to September 2011, ten healthy male dogs were selected. A rhomboid incision about 3x2cm over the tunica albuginea and its overlying squamous epithelium was made and then excised. The amniotic membrane was folded twice on itself and grafted on the defect. After 8 weeks, artificial erection was made for 5 dogs and for the other 5 dogs after 12 weeks. After artificial erection, partial penectomy was done and histopathological evaluation was performed on the grafts. Results: Artificial erection performed successfully in all of the dogs. No infection or any other complication was seen. Histopathological examination showed complete re-epithelialization with squamous epithelium and collagen fiber deposition. Also, no dysplasia was seen. Conclusions: The amniotic membrane can be used as a suitable substitution for tunica albuginea. It is safe, inexpensive, biodegradable, and available and may be used for the treatment of Peyronie's disease, penile cancers, congenital penile deformities, and penile reconstructive surgery.
Key words: Amnion; Penile Induration; Peyronies Disease; Penile Neoplasms
INTRODUCTION
Peyronie's disease, penile cancers, congenital deformities of the penis, and penile reconstructive surgery are conditions in which a suitable substitute for tunica albuginea is needed. Peyronie's disease is an acquired, localized fibrotic disorder of the tunica albuginea, resulting in penile deformity, pain, and in some men, erectile dysfunction. Several medical and surgical treatments are suggested for the Peyronie patients but all of them have their own advantages and disadvantages and none of them is an ideal choice for the treatment of the disease. Surgery is performed for the patients whose disease is stable and mature plaque is formed. Indications for surgery include deformity and/or erectile dysfunction that preclude intercourse. Excision and plication techniques have been frequently employed with different results. Also, biomaterial grafts of the dermis (1), cadaver pericardium (2), porcine small intestinal submucosa (3), tunica vaginalis (4), and temporalis fascia have been used (5). Despite several surgical methods and biomaterials, it seems that none of them is an excellent choice and more studies could be logical and the matter is still under discussion. We herein report our experience in excising a part of canine penile tunica albuginea, grafting the human amniotic membrane, and evaluating artificial erection and histopathological changes of the specimens afterwards. We hope that success of this study could be first step toward an innovating new method for treatment of Peyronie's disease and other conditions mentioned above.
MATERIAL AND METHODS
This experiment was conducted on 10 male dogs from German race with an average age of 4 years (range = 2 to 6 years) and an average weight of 35kg in the Animal Laboratory of Shiraz University of Medical Sciences between August 2011 and September 2011. The procedures and the handling of the animals were reviewed and approved by the Research and Ethics Committee of Shiraz University of Medical Sciences in accordance with the 'principles of laboratory animal care', formulated by the National Society for Medical Research and the 'Guide for the Care and Use of Laboratory Animals', published by the National Institutes of Health (NIH publication 85-23, revised 1985). All the dogs were healthy and without any urogenital disease.
Also, human amniotic membranes, provided by Shiraz Ghotbedin Burns Hospital were kept in alcohol (95%) until application. (In this center, amniotic membranes are provided from delivery rooms and are used as a biological dressing in burn patients.)
Anesthesia was induced with thiopental intravenous administration (5mg/kg), and the dogs were thereafter intubated. Anesthesia was maintained with halothane and oxygen. The site of surgery was shaved and prepped with Betadine solution, and the rest of the body was covered with sterile drapes. A tourniquet was applied at the base of the penis. Then, by injecting 75-100cc (further injection was impossible) of sterile normal saline, artificial full rigid erection was made for evaluation of any deformity or chordee in the penis. Next, the penis was degloved by retracting the cutaneous sheath of the penis. A rhomboid incision, about 3x2cm in size, was made over the tunica albuginea and its overlying squamous epithelium before it was dissected from the underlying corpora cavernosa using Metzenbaum scissors. Any tear in the corpora cavernosa vessels was repaired with vicryl 5-0. Subsequently, a piece of amniotic membrane was selected, washed with normal saline, and folded twice on itself to increase its thickness and strength. The amniotic membrane graft with the same size as the defect was snuggly sutured to its edges with prolene 5-0, the tourniquet was removed, and any bleeding from the graft edges was controlled by over-sewing with prolene 5-0. At the end of the procedures, Ceftriaxone (1gr.) was injected intramuscularly.
All the animals were NPO for 6 hours postoperatively before the diet was started. The dogs were kept in a clean environment and separate cages and were followed up daily for two weeks and weekly after that.
After about 8 weeks, five dogs were operated on again under general anesthesia. First, a tourniquet was applied at the base of the penis and artificial full rigid erection was made by injection of 75-100ml (as maximum as possible) of normal saline into the corpus cavernosum. At this step more injection of more saline was impossible. Full erection of the penis was created for evaluation of any chordee or deformity in them. Then, the grafts, in addition to 5 millimeters of the normal margin, were removed and sent to the pathology ward for histopathological examination in formalin (10%) solution. Also, the operation was performed for the other 5 dogs in the same manner as was explained above, after about 12 weeks. Also, in this group, artificial rigid erection was made by injection of 75-100ml of normal saline into the corpus cavernosum. Samples of this group were sent for histopathological examination as well. In the pathology ward, the slides were made from samples and H&E, Masson's trichrome, and Verhoeff-van Gieson elastin staining were performed on the slides under 100x magnification.
RESULTS
The operations were performed successfully in all of the animals. No complications related to surgery like infection or bleeding were seen during intra or postoperatively. The mean operation time was about 30 minutes. Full artificial erection was created without any chordee or deformity in the penis, and no leakage or bulging in the area of the grafts was seen in all of the dogs. The grafted amniotic membrane became similar to the surrounding tissue, and only the line of non-absorbable sutures discriminated the border between the graft and normal tissue (Figure-1).
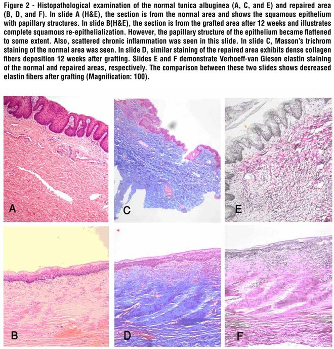
Histopathological evaluation revealed complete re-epithelialization of the epithelium with squamous layers. Also, scattered chronic inflammatory cells infiltration was seen but inflammation decreased significantly in the samples that were subjected to surgery after 12 weeks as compared to the other group. Moreover, increased collagen fiber deposition and decreased elastic fibers in the upper portion of the repaired area was seen (Figure-2). No dysplasia was detected.


DISCUSSION
The tunica albuginea is a bilaminar structure throughout most of its circumference. It is composed of an outer longitudinal layer and an inner circular layer and the corpora are separated by an incompetent septum. Nevertheless, on the ventrum, the longitudinal layer of the tunica albuginea is absent and this potentially allows dorsal buckling more easily; this can explain why most patients with Peyronie’s disease demonstrate lesions dorsally. The etiology and risk factors of Peyronie's disease, however, are not known completely. Some factors such as β blockers, urethral instrumentation, certain human leukocyte antigen subtypes, TGF-β (6), downregulation of matrix metalloproteinase (7), reduction in α1-antitrypsin level (8), oxidative stress, and cytokine release may have a role in the pathogenesis of the disease. In most cases, there are two phases. The first one is the active phase and is usually associated with painful erections and changing deformity of the penis. The second quiescent phase is described by stabilization of the deformity and disappearance of painful erections. A wide spectrum of medical and surgical treatments has been suggested for Peyronie's disease but none of them is perfect. Vitamin E, colchicine, intralesional corticosteroids, and intralesional Verapamil are among the medications usually prescribed for the treatment. Some urologists prefer surgical correction for stable and mature disease. Reed Nesbit (9) corrected erectile deformities caused by congenital abnormalities by shortening the opposite side of the penis using plication or the excision of an ellipse of tunica albuginea. This technique was applied to Peyronie’s disease by Pryor and Fitzpatrick (10), who made use of the classical elliptical excision of the tunica opposite side of the plaque. Plication of the opposite aspect of the corpora cavernosa without excising the plaque was performed by Lue and Gholami (11). Also Yachia (12) explained the corporoplasty technique of longitudinal incision in the opposite side of the tunica albuginea and transverse closure. Modifications of the Nesbit operation (tunical incision with plication, plication alone, or combinations with elliptical excision) are commonly used by urologists. Be that as it may, in all of these techniques, shortening of the penis occurred and many of the patients did not accept this shortening. Austoni (13) showed high incidence of erectile dysfunction with plaque excision, when 20% of 418 patients developed postoperative erectile dysfunction. Penile prostheses are reserved for patients who also have an impaired erection or extensive disease. Several studies have shown that the satisfaction rates for the Nesbit Operation for Peyronie’s disease are variable (Table-1) (14). Also, the results of plication techniques in different studies are available (Table-2) (14). Due to high failure rates, erectile dysfunction, penile shortening, recurrent deformity, and dissatisfaction of the patients, some physicians have searched for materials that can substitute the lesions. Excision of the plaque and closing the corporotomy defect with tunica vaginalis, as an island based on a dartos fascial and cremasteric flap, was described by Das and Amar (4). Also, Buncke (15) performed an experimental animal study, in which the lesion was excised and the defect was substituted with temporalis fascia as a microvascular free flap.


Utilization of de-epithelialized penile skin or other parts of the body has been suggested by many authors in the literature. Still, most urologists are unfamiliar with the skin de-epithelialization technique and as such tend to find it a difficult and time-consuming procedure. Incision in the plaque and patching the corporotomy defects with vein grafts is another technique. Grafts from the cadaver pericardium and porcine small intestinal submucosal graft have also been reported (2,3). Foreign material “grafts” (e.g. Silastic, Gore-Tex, and Dacron) have not had promising results thus far.
In addition to Peyronie's disease, there are other conditions whose treatment requires a substitution for tunica albuginea; these conditions include trauma, penile cancers, congenital curvatures, and reconstructive surgery of the penis. The amniotic membrane has been recently used widely and successfully in ophthalmology for corneal and conjunctival reconstructions (16), burn dressing (17), urethroplasty (18), vestibuloplasty (19), surgical dressings (20), myelomeningocele (21), long ureteral stricture construction (22), bladder reconstruction (23), and other modalities. The amniotic membrane is composed of the connective tissue with a significant collagen and extracellular matrix composition. It is resistant to infection and rejection. In addition, it is avascular and has anti-inflammatory and anti-scaring properties (24).
Artificial erection showed that the amniotic membrane changed from a delicate structure to firm adhesive fibrous material that can tolerate high intra-cavernosal pressure without leakage or bulging. Also during full rigid erection no chordee was seen and it showed amniotic membrane grafting is not only a fibrotic reaction; instead this biomaterial get host tissue properties like its distensibility and elasticity. Presence of elastin fibers in histopathologic evaluation confirms this. The capability of the amniotic membrane to achieve host tissue characters has been proved by several studies. It is a pluripotential tissue that can transform to the cornea, epidermis, dermis, transitional epithelium of the urethra and bladder, and others. We folded the amniotic membrane twice, and this may be responsible for the increased strength after the operation. In addition, we thought folding of the amniotic membrane helps us in suturing and handling of this delicate material.
A study by Dr. Khodadoust (25) showed that the basement membrane of the amnion promotes the migration of the epithelial cells and reinstitutes adhesion between the basement membrane and new epithelial cells. In addition, Kim (26) showed that the stromal matrix of the amniotic membrane contains proteinase inhibitors that promote healing of the epithelium and reduces inflammation of the host tissue stroma. In one study, reverse transcription-polymerase chain reaction analysis showed that human amniotic epithelial cells are capable to express albumin, alpha-1-antitrypsin and other hepatocyte-related genes; therefore, the amniotic membrane has the potency to produce alfa-1-antitrypsin (27). Furthermore, in organ culture, the amnion also secreted alpha-1-antitrypsin. On the other hand, alfa-1-antitrypsin deficiency is likely to play a role in the pathogenesis of Peyronie's disease (8); as a result, the production of this material from the amniotic membrane can help in Peyronie’s disease treatment. A study by Del Carlo evaluated the role of matrix metalloproteinase in this abnormal scarring process. Matrix metalloproteinases are enzymes that are engaged in the remodeling of the extracellular matrix proteins; these remodeling enzymes are regulated by the tissue inhibitors of metalloproteinase. In the case of Peyronie’s disease, matrix metalloproteinases are downregulated, acting as a possible mechanism for the scarring process in the pathogenesis of Peyronie’s disease (7). In addition, immunohistochemistry studies performed on freshly prepared amniotic membrane confirmed that all the members of the tissue inhibitor of metalloproteinase (TIMP) family were present in the epithelial and mesenchymal cells and the compact layer of the amniotic stroma (24). So, the interaction between amniotic membrane TIMP and tunica albuginea must be studied further. The amniotic membrane contains several growth factors; it is avascular and has anti-inflammatory, anti-angiogenic, and anti-scarring effects. These properties make human amniotic membrane an ideal tissue graft for the surface reconstruction of different tissues. In contrast to the studies that have reported the anti-inflammatory effects of the amniotic membrane, we observed chronic inflammatory cells infiltration in the repaired area, although the inflammation decreased significantly in the dogs subjected to surgery after 12 weeks in comparison to the other group. Re-epithelialization occurred in all of the grafts in our study. Other studies have also demonstrated the great potential of re-epithelialization in amniotic membrane grafts. Although the dogs haven't Peyronie's disease, these results that showed tunica abuginea could be replaced by amniotic membrane are encouraging. Also longer follow-up in next studies is recommended for evaluation of late complications. It should be emphasized that although we hadn't any infection or unwanted reaction, allografts and synthetic materials carry the risk of tissue reaction and infection.
CONCLUSIONS
This study suggests that the amniotic membrane is a biodegradable graft with little antigenic effects and its grafting is economical and easy. The amniotic membrane may be an ideal substitution for tunica albuginea and treatment of Peyronie's disease, penile cancers, and congenital deformities and in penile reconstructive surgery. Although the situation might not be the same in human and the immunological reaction, the retraction rate and the function of the graft could be different but at this step the results are encouraging but more experimental studies are highly recommended for more accurate and reliable results, which hopefully would make it possible for the amniotic membrane to be used in human cases.
ACKNOWLEDGEMENTS
With special thanks to Dr. Amir Malekahmadi; Dr. Nader Tanideh and Mr. Omid Koohi Hosseinabadi who helped us in this work.
REFERENCES
- Simonato A, Gregori A, Varca V, Venzano F, De Rose AF, Ambruosi C, et al.: Penile dermal flap in patients with Peyronie's disease: long-term results. J Urol. 2010; 183: 1065-8.
- Hellstrom WJ, Reddy S: Application of pericardial graft in the surgical management of Peyronie's disease. J Urol. 2000; 163: 1445-7.
- Knoll LD: Use of porcine small intestinal submucosal graft in the surgical management of Peyronie's disease. Urology. 2001; 57: 753-7.
- Dad S, Amar AD: Peyronie's disease: excision of the plaque and grafting with tunica vaginalis. Urol Clin North Am. 1982; 9: 197-201.
- Gelbard MK, Hayden B: Expanding contractures of the tunica albuginea due to Peyronie's disease with temporalis fascia free grafts. J Urol. 1991; 145: 772-6.
- Haag SM, Hauck EW, Szardening-Kirchner C, Diemer T, Cha ES, Weidner W, et al.: Alterations in the transforming growth factor (TGF)-beta pathway as a potential factor in the pathogenesis of Peyronie's disease. Eur Urol. 2007; 51: 255-61.
- Del Carlo M, Cole AA, Levine LA: Differential calcium independent regulation of matrix metalloproteinases and tissue inhibitors of matrix metalloproteinasesby interleukin-1beta and transforming growth factor-beta in Peyronie's plaque fibroblasts. J Urol. 2008; 179: 2447-55.
- Hauck EW, Hauptmann A, Haag SM, Bohnert A, Weidner W, Bein G, et al.: Alpha-1-antitrypsin levels and genetic variation of the alpha-1-antitrypsin gene in Peyronie's disease. Eur Urol. 2004; 46: 623-8; discussion 628.
- Nesbit RM: Congenital curvature of the phallus: Report of 3 cases with description of corrective operation. J Urol. 1965; 93: 230-2.
- Pryor JP, Fitzpatrick JM: A new approach to the correction of the penile deformity in Peyronie's disease. J Urol. 1979; 122: 622-3.
- Gholami SS, Lue TF: Correction of penile curvature using the 16-dot plication technique: a review of 132 patients. J Urol. 2002; 167: 2066-9.
- Yachia D: Modified corporoplasty for the treatment of penile curvature. J Urol. 1990; 143: 80-2.
- Austoni E, Colombo F, Mantovani F, Patelli E, Fenice O: Radical surgery and conservation of erection in Peyronie's disease. Arch Ital Urol Androl. 1995; 67: 359-64.
- Ralph DJ: The Nesbit and Plication Procedures for Peyronie’s Disease. In: Levine LA. Peyronie's disease: a guide to clinical management. Totowa, New Jersey: Humana Press Inc, 2007; pp.139-41.
- Stefanovic KB, Clark SA, Buncke HJ: Microsurgical vascularized free temporoparietal fascia transfer for Peyronie's disease: an experimental study. J Reconstr Microsurg. 1994; 10: 39-45; discussion 45-6.
- Gris O, López-Navidad A, Caballero F, del Campo Z, Adán A: Amniotic membrane transplantation for ocular surface pathology: long-term results. Transplant Proc. 2003; 35: 2031-5.
- Walker AB, Cooney DR, Allen JE: Use of fresh amnion as a burn dressing. J Pediatr Surg. 1977; 12: 391-5.
- Shakeri S, Haghpanah A, Khezri A, Yazdani M, Monabbati A, Haghpanah S, et al.: Application of amniotic membrane as xenograft for urethroplasty in rabbit. Int Urol Nephrol. 2009; 41: 895-901.
- Samandari MH, Yaghmaei M, Ejlali M, Moshref M, Saffar AS: Use of amnion as a graft material in vestibuloplasty: a preliminary report. Oral Surg Oral Med Oral Pathol Oral Radiol Endod. 2004; 97: 574-8.
- Gruss JS, Jirsch DW: Human amniotic membrane: a versatile wound dressing. Can Med Assoc J. 1978; 118: 1237-46.
- Hasegawa M, Fujisawa H, Hayashi Y, Yamashita J: Autologous amnion graft for repair of myelomeningocele: technical note and clinical implication. J Clin Neurosci. 2004; 11: 408-11.
- Koziak A, Salagierski M, Marcheluk A, Szcześniewski R, Sosnowski M: Early experience in reconstruction of long ureteral strictures with allogenic amniotic membrane. Int J Urol. 2007; 14: 607-10.
- Fishman IJ, Flores FN, Scott FB, Spjut HJ, Morrow B: Use of fresh placental membranes for bladder reconstruction. J Urol. 1987; 138: 1291-4.
- Hao Y, Ma DH, Hwang DG, Kim WS, Zhang F: Identification of antiangiogenic and antiinflammatory proteins in human amniotic membrane. Cornea. 2000; 19: 348-52.
- Khodadoust AA, Silverstein AM, Kenyon DR, Dowling JE: Adhesion of regenerating corneal epithelium. The role of basement membrane. Am J Ophthalmol. 1968; 65: 339-48.
- Kim JS, Kim JC, Na BK, Jeong JM, Song CY: Amniotic membrane patching promotes healing and inhibits proteinase activity on wound healing following acute corneal alkali burn. Exp Eye Res. 2000; 70: 329-37.
- Takashima S, Ise H, Zhao P, Akaike T, Nikaido T: Human amniotic epithelial cells possess hepatocyte-like characteristics and functions. Cell Struct Funct. 2004; 29: 73-84.
__________________________
Submitted for publication:
August 02, 2013
________________________
Accepted after revision:
October 03, 2013
______________________
Correspondence address:
Kiomars Izadpanah, MD
Department of Urology
Fasa University of Medical Sciences, Fars, Iran
Fax: + 987 31 221-6300
E-mail: kiomars_i@yahoo.com
|